TOMOGRAFIA ORTODÔNTICA 
 
    
 
 
 
 
 
Método complementar de diagnóstico, que contribui para a avaliação de discrepâncias dento-faciais de casos ortodônticos.
Considerando-se que a Ortodontia também é uma especialidade que observa aspectos de imagens ósseas e dentárias, cada vez mais há evidência de que o uso de Tomografia Computadorizada do feixe cônico está crescendo nesta área, e tem seu uso comprovado como primeira indicação em diversas situações clínicas.
Por entender que cada caso é único e que apresentam complexidade diferente, oferecemos 3 tipos de Tomografias Ortodônticas, adequando-se à sua necessidade.
TOMOGRAFIA ORTODÔNTICA 1
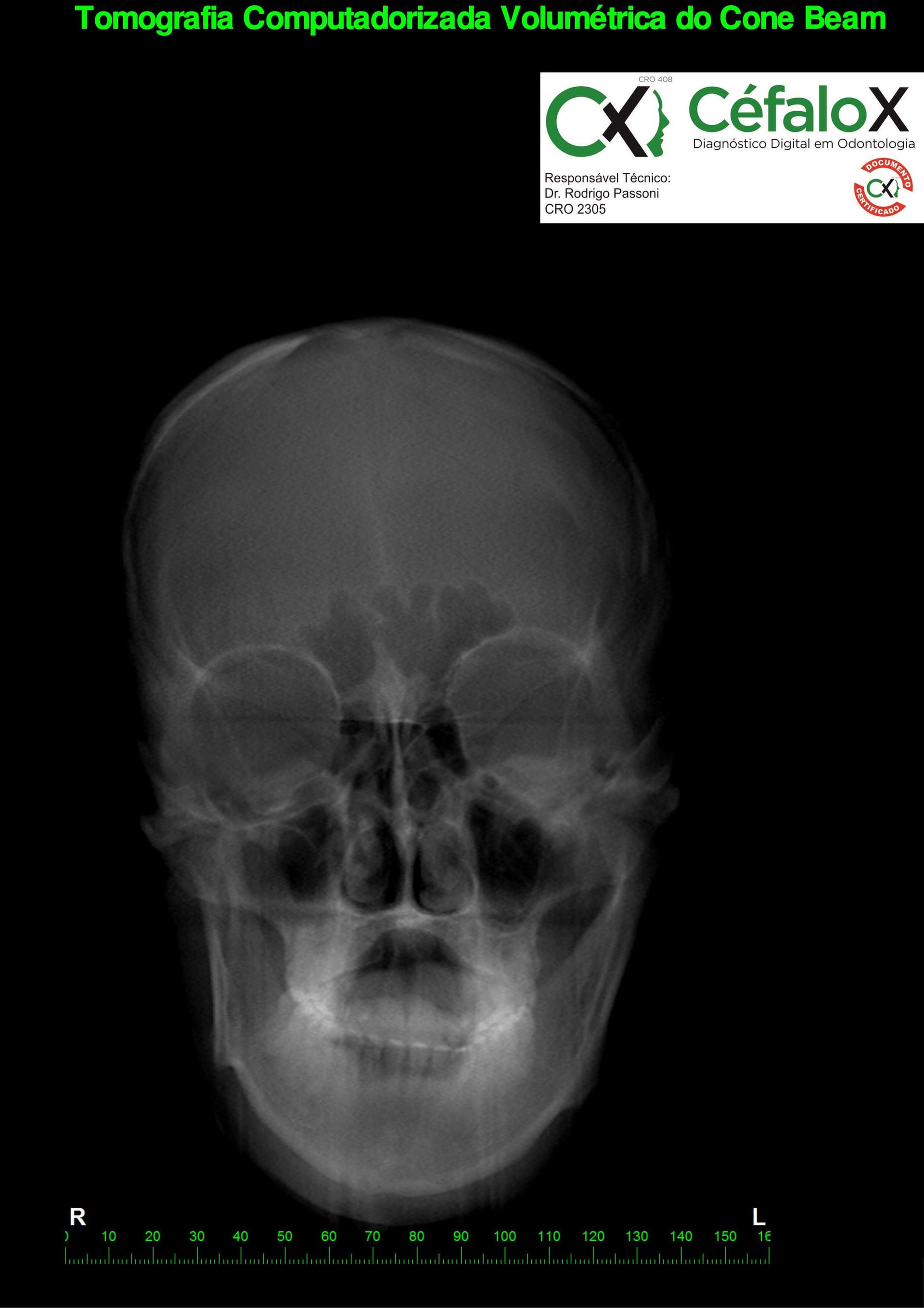
TC de face (do Hióide à Glabela), reconstrução 3D do tecido ósseo, radiografia panorâmica, telerradiografia lateral com traçado, cortes transversais e axial de maxila e mandíbula e arquivo DICOM- entregue em pasta de Pvc.
TOMOGRAFIA ORTODÔNTICA 2
TC de face (do Hióide à Glabela), reconstrução 3D do tecido ósseo, radiografia panorâmica, telerradiografia lateral e frontal com traçado, cortes transversais e axial de maxila/mandíbula e arquivo DICOM – entregue em pasta de Pvc.
TOMOGRAFIA ORTODÔNTICA 3
TC de face (do Hióide à Glabela), reconstruções 3D do tecido mole/ósseo/vias aéreas, radiografia panorâmica, telerradiografia lateral e frontal com traçado, cortes transversais e axial de maxila/mandíbula, ATM e arquivo DICOM – entregue em pasta e caixa de Pvc.




















































