DOCUMENTAÇÃO ORTODÔNTICA 
 
    
 
 
 
 
 
DOCUMENTAÇÃO ORTODÔNTICA
 
 
 Conjunto de exames que tem por finalidade auxiliar no entendimento, análise e planejamento de casos ortodônticos.
Por entender que cada caso é único e que apresentam complexidade diferente, oferecemos 5 tipos de documentações ortodônticas, adequando-se à sua necessidade.
COMPLETA
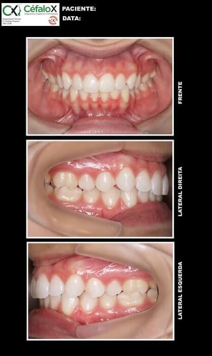
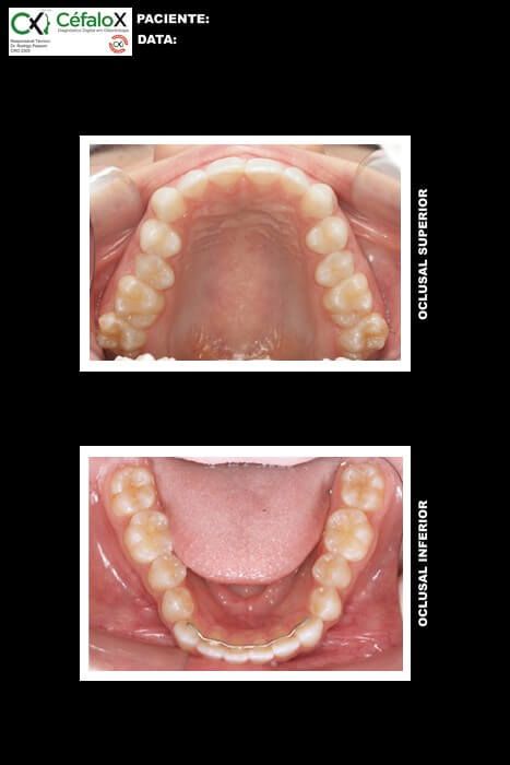
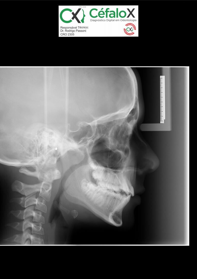
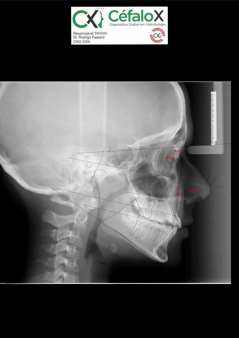
Composta por radiografia extra-oral panorâmica, telerradiografia lateral com traçado cefalométrico, 4 radiografias interproximais, 14 radiografias periapicais (levantamento periapical), 8 fotos, escaneamento intraoral e modelo prototipado. Documentação entregue em pasta e caixa de PVC.
BÁSICA
Composta por radiografia extra-oral panorâmica, telerradiografia lateral com traçado cefalométrico, 4 radiografias interproximais, 6 fotos, escaneamento intraoral e modelo prototipado. Documentação entregue em pasta e caixa de PVC.
SIMPLIFICADA
Composta por radiografia extra-oral panorâmica, telerradiografia lateral com traçado cefalométrico, 3 fotos, escaneamento intraoral e modelo prototipado. Documentação entregue em pasta e caixa de PVC.

























